Sabrina Buoro nuova presidente Sibioc: "Obiettivi innovazione e sostenibilità"
(Adnkronos) - 'Crisi di vocazione nella medicina di laboratorio criticità su cui intervenire con decisione'
Visualizzazione di tutti i post con categoria Salute
(Adnkronos) - 'Crisi di vocazione nella medicina di laboratorio criticità su cui intervenire con decisione'
(Adnkronos) - Con l'avanzare dell'età si tende a ridurre il tempo dedicato al riposo notturno che invece è fondamentale per far funzionare m...
(Adnkronos) - Promosso da Regione Puglia e Simit
Il freddo può rivelarsi un pessimo alleato per la salute cardiaca e l’arrivo dell'attuale ondata di gelo riaccende l’...
Secondo nuove stime, nel 2026 nell’Unione europea si registreranno circa 1.230.000 decessi per tumore, con un tasso di mortalità di 114 per...
(Adnkronos) - Solo 7 professionisti su 10 partecipano ai corsi - Operazione di Koinos Capital con acquisizione di Dynamicom Education, Forme...
Nel triennio 2022-2024 la spesa sanitaria pubblica cresce costantemente in valore nominale ma l’inflazione riduce la crescita reale a poco p...
Il Sistema Sanitario Nazionale dopo la pandemia risulta ancora segnato da forti disomogeneità territoriali e criticità gestionali , seppur a...
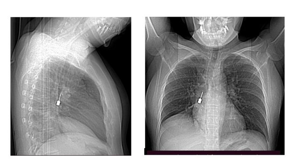
Un cacciavite odontoiatrico inalato accidentalmente e rimasto incastrato in un bronco polmonare. È la scoperta choc che ha portato una giov...
Una piccola novità che farà tanto discutere. L'Unione Europea ha deciso di vietare l'utilizzo di bustine monouso, usate per salse, olio e a...
Si tratta del terzo lunedì di gennaio. Boom di richieste di aiuto psicologico. A rischio anche l'intimità
Lo studio è stato coordinato dall'Università Statale di Milano in collaborazione con l'Università di Bologna e l’Università di Parma sostenu...
1300 operatori sanitari all'opera nei 6 villaggi olimpici, medici, infermieri, fisioterapisti e pure dentisti. Altri 3000 nella rete di stru...
In moltissimi alimenti che consumiamo quotidianamente si celano sostanze “invisibili”, il cui consumo prolungato può aumentare il rischio di...
In Inghilterra l’allarme è ormai ufficiale: secondo la British Heart Foundation, gli adulti consumano ogni giorno una quantità di sale pari...
Arresto cardiaco refrattario a 47 anni, rianimato per 45 minuti e poi collegato all’ECMO. Vivo grazie alla prontezza della compagna e alla r...
Per un giorno il cuore di Andrea, medico radiologo torinese, è stato spento dai suoi colleghi anestesisti. Serviva tempo per curarlo, l'arr...
(Adnkronos) - Sono più di 250 ogni anno i casi di morte in culla stimati in Italia. Un dramma che ruba il futuro a vite appena nate e che im...
(Adnkronos) - Gli energy drink sono una delle bevande preferite dagli sportivi. L'ex stella del Leicester dei miracoli, Jamie Vardy (39 anni...
(Adnkronos) - "C'è un legame molto forte tra lo sport e la scienza. Lilly è un'azienda impegnata in ricerca e sviluppo da 150 anni e oggi ha...
(Adnkronos) - "Per parlare della partnership e del grande valore aggiunto portato da Lilly ai prossimi Giochi olimpici e paralimpici inverna...
(Adnkronos) - "Io sono nata e cresciuta facendo sport e credo che sia stato un grande maestro per me, sia nella vita di tutti i giorni, che...
(Adnkronos) - In questo numero: Life science, online il vodcast su importanza del settore sul sistema Paese Diabete, a gennaio niente 'reset...
(Adnkronos) - Sport e scienza insieme per superare ogni sfida: è questo il fil rouge delle attività che Lilly, medicine company impegnata da...
(Adnkronos) - Punto debole da colpire per terapie più efficaci nel tempo, risultati promettenti in modelli sperimentali
La raccolta di plasma in Italia cresce ancora e segna un nuovo record nel 2025. Secondo i dati elaborati dal Centro Nazionale Sangue, nell’a...
(Adnkronos) - Il sindacato dei medici ambulatoriali Sumai Assoprof "esprime stupore, amarezza e profonda preoccupazione per quanto accaduto...
(Adnkronos) - L'ospedale ecclesiastico 'Miulli' di Acquaviva delle Fonti, in provincia di Bari, nel 2025 è stato il primo centro in Italia p...
(Adnkronos) - Oncologi, 'preservare la fertilità non aumenta il rischio di recidiva' - Si apre oggi a Genova il convegno Back from San Anton...
“Il cittadino che esercita il diritto all’oblio tramite presentazione di apposita certificazione non è tenuto – ai fini della stipulazione o...
Sono esclusi i prodotti Rc Auto, per i quali il dato sanitario riguardante la malattia risulta irrilevante. La richiesta per consentire di a...
Dormire bene non significa solo dormire abbastanza ore, ma anche scegliere la posizione giusta. La postura che assumiamo infatti durante il...
(Adnkronos) - "La normativa attuale vieta ai medici impegnati nel Servizio sanitario nazionale, che siano medici di medicina generale o ospe...
Sclerosi multipla, individuate le cause all'origine della malattia. Nuovi dati confermano il legame tra il virus di Epstein-Barr, un virus...
Per curare i ragazzi rimasti feriti nella tragedia di Crans-Montana, e ora ricoverati in Lombardia, verrà usato un antibiotico di ultima ge...
Cresce la raccolta di plasma in Italia. E arriva un nuovo record. Salgono di undici tonnellate le sacche raccolte nel 2025 rispetto al 2024...
Sono stati individuati due fattori genetici chiave in grado di proteggere dall?Alzheimer i cosiddetti ?super anziani?, ovvero persone con p...
Negli ultimi anni Tony Dallara aveva affrontato gravi problemi di salute, arrivando a trascorrere anche un lungo periodo in coma. Nonostant...
Si va verso una proroga della permanenza al lavoro su base volontaria fino a 72 anni per i medici ospedalieri. La notizia, anticipata dal mi...
(Adnkronos) - Il ginecologo: "Per molti l'attività fisica che svolge in dolce attesa può sembrare eccessiva ma non lo è"
(Adnkronos) - Di Silverio: "Non basta sancire l'abolizione, occorre ridisegnare e riscrivere le regole"
(Adnkronos) - "Rispetto a quanto ascoltato in conferenza stampa, attendiamo di discuterne in maniera più approfondita. Quello dell'abolizion...
(Adnkronos) - "La proposta" di legge delega promossa dai gruppi parlamentari e dalla consulta nazionale di Forza Italia "è molto importante...
(Adnkronos) - Dare ai medici impegnati nel pubblico la possibilità di svolgere attività extra orario presso strutture private accreditate o...
(Adnkronos) - "Proposta Forza Italia innovativa, finalmente affronta la criticità dell'attuale sistema"
(Adnkronos) - Prevedere un problema di salute prima che diventi un rischio è la speranza di ogni persona, ma per farlo possono esserci diver...
(Adnkronos) - Radioterapia one shot per il 'cuore matto'. "I pazienti con aritmie maligne possono essere trattati efficacemente, e senza sig...
(Adnkronos) - "Regime non più utile e in molti casi negativo perché riduce la capacità del sistema di offrire prestazioni ai cittadini"
(Adnkronos) - "Obiettivo del piano è anche quello di aumentare le prestazioni per rispondere a bisogni di cura dei cittadini'"
(Adnkronos) - "Resta un sistema forte ma deve essere aggiornato con strumenti di riforma, fondamentale intervenire a sostegno delle professi...